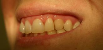
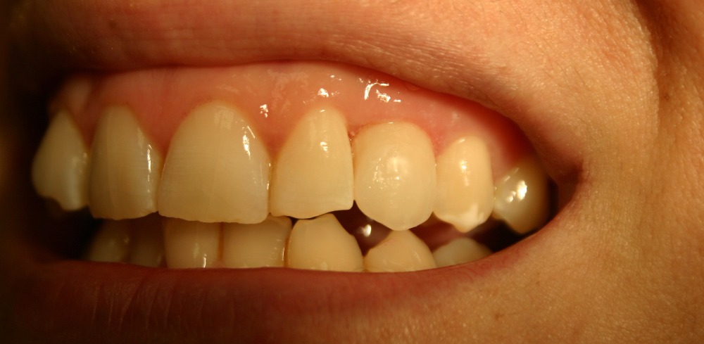
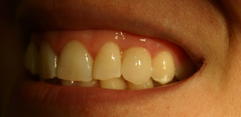
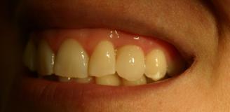
Pressed ceramics is one of the most aesthetic and most stable restorations of our days.
Typically it is only suitable for restorations with a span of a lower number of, maximum 3 or 4 members.
We mainly use it for the preparation of single crowns, veneers, inlay-onlay, bridges with inlay fixation and table-top crowns.
By means of this method we can press on the prepared framework, we can prepare veneers, we can make a completely anatomic crown (which only needs a subsequent colouration), and we can apply the so-called cut-back technology as well.
All this happens with one material.
Our laboratory exclusively uses Lithium disilicate glass ceramics from the Ivoclar.



